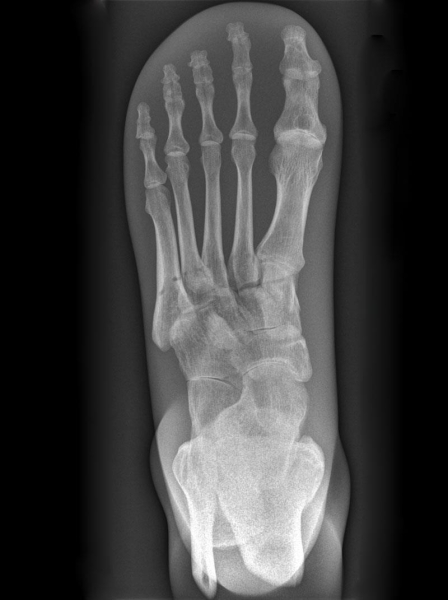
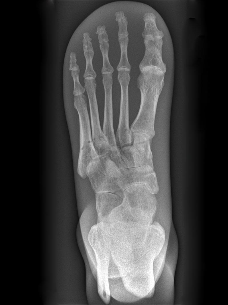
Dieses Röntgen-Teilphantom bietet Ihnen die einmalige Möglichkeit, reale Röntgenaufnahmen so oft Sie wollen zu wiederholen. Das Modell enthält echte menschliche Knochen und erlaubt so, echte Aufnahmen zu machen. Das Modell eignet sich perfekt für Schulen und Ausbildungsstätten, aber natürlich auch für die Medizintechnik, da verschiedene Einstellungen mit dem gleichen Körperteil wieder und wieder ausprobiert werden kann, ohne dass eine Gefährdung des Patienten in Kauf genommen werden muss. Das Modell ist in transparentem Kunststoff fest eingebettet. Diese Ausführung ist mit einem undurchsichtigen Lack versehen, so dass die inneren Strukturen nicht zu erkennen sind. Bei diesem Modell handelt es sich um ein handgefertigtes Einzelstück, das in seiner Größe und Ausführung abweichen kann. Bedingt durch das Fertigungsverfahren können im Innern des Phantoms Verfärbungen oder Risse vorhanden sein, dies ist produktionsbedingt und stellt keinen Defekt dar. Der Verkauf dieses Modells erfolgt nur gegen Nachweis der medizinischen Verwendung.
Fußskelett mit Unterschenkelansatz.
Inklusive Transportkoffer